Examination of Lung Lesions in Parainfluenza-3 Infections in Ruminants with Pathological and Immunohistochemical Methods

Melike Altıntaş Korkmaz, Zafer Özyıldız, Nilay Serap Umut

  •  Year : 2026
  •  Vol : 3
  •  Issue : 1
  •  Page : 22-33
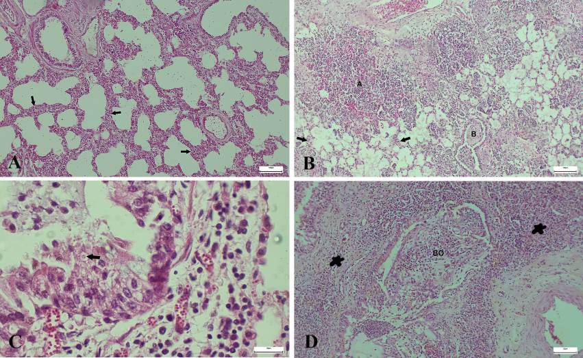
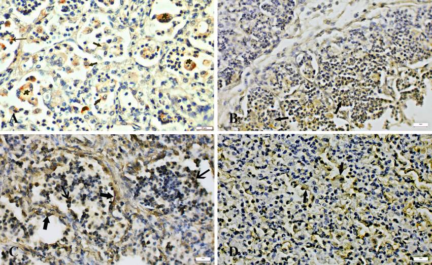
Parainfluenza 3 (PI3) infection is one of the most common viral infections among respiratory system diseases in domestic and wild ruminants. The disease is more frequently observed under poor management conditions, during transportation, and in the presence of concurrent viral and bacterial infections. The most common finding in the disease is characteristic bronchointerstitial pneumonia. Concurrent viral and bacterial infections may exacerbate this condition, leading to fibrinopurulent-necrotic bronchopneumonia. This study aimed to investigate the histopathological findings of PI3 infection in ruminants, the release of Mannose Binding Lectin (MBL) and Surfactant Protein B (SP-B) in lung tissue during inflammation, their roles and importance in pathogenesis, and their interrelationships. For this purpose, paraffin-embedded lung tissue blocks from 30 ruminants suspected of viral pneumonia and 10 ruminants without lesions were used. The blocks were sectioned at a thickness of 5 micrometers and placed on normal and Poly-L-Lysine slides. The normal slides were stained using the Hematoxylin and Eosin staining method. The Poly-L-Lysine slides were subjected to the Avidin-Biotin Complex Peroxidase method. All sections were examined under a light microscope and microphotographs were taken. Histopathologically, the acute destructive phase was observed in most cases (78%), while the chronic proliferative phase was observed in 4 cases (22%). Immunohistochemical methods revealed anti-PI3 positive findings in 15 animals (50%). Additionally, it was determined that MBL release was high in acute cases but decreased in subacute or chronic cases. SP-B release, on the other hand, was higher in subacute and chronic cases compared to acute cases. In conclusion, it was suggested that MBL release might be insufficient for recovery in cases of immunodeficiency or mixed infections, whereas early and accurate treatment could increase the chances of survival through the effects of SP-B.
Cite this Article As :

Description : Yazarların hiçbiri, bu makalede bahsedilen herhangi bir ürün, aygıt veya ilaç ile ilgili maddi çıkar ilişkisine sahip değildir. Araştırma, herhangi bir dış organizasyon tarafından desteklenmedi.Yazarlar çalışmanın birincil verilerine tam erişim izni vermek ve derginin talep ettiği takdirde verileri incelemesine izin vermeyi kabul etmektedirler. None of the authors, any product mentioned in this article, does not have a material interest in the device or drug. Research, not supported by any external organization. grant full access to the primary data and, if requested by the magazine they agree to allow the examination of data.
Examination of Lung Lesions in Parainfluenza-3 Infections in Ruminants with Pathological and Immunohistochemical Methods, Research Article,
, Vol. 3 (1)
Received : 15.01.2025, Accepted : 01.09.2025 , Published Online : 29.01.2026
Repvas
ISSN: ;
E-ISSN: 3023-6681 ;
index index index